서울스마트치과

디지털 치아교정

서울스마트치과의 차별화된
네비게이션 디지털 교정

정확하고 빠른 스마트치과 치아교정, 이제는 디지털로 경험하세요.

스마트, 정교하고 체계적인 교정의 시간

원장님 상담 및 스캐너를 통한 정밀 인상

원장님과 환자분의 상담을 통해 환자분의 니즈를 파악하여 원하는 치아 배열을 설계합니다.
환자분께서 교정을 진행한다고 하시면 이후 스캐너를 통해 오차 없는 정밀 인상채득이 진행됩니다.

정밀상담 및 시뮬레이션

브라켓을 붙이는 시뮬레이션을 통해 더욱 정확하고 정밀한 진단 상담이 가능하며
환자분의 교정 후의 모습을 대략적인 시뮬레이션 가능합니다.

스마트 디지털 교정장치 부착 및 정기적인 내원

브라켓을 붙이는 시뮬레이션을 과정과 미리 위치를 미리 파악하여
가이드를 통해 장치를 붙이기 때문에 환자가 누워 있는 시간도 줄일 수 있으며,
오차를 수정하는 과정이 생략되어 치료 기간이 단축될 수 있습니다.

교정 완료, 유지 장치 부착 및 정기검진

스마트 디지털 교정은 오차를 최소화했기 때문에 보다 빠르고 만족스러운 결과를 낼 수 있습니다.
교정이 완료되면 완료된 상태를 유지하기 위한 유지 장치를 부착하며,
정기적 내원을 통해 지속적인 체크를 해드립니다.

투명교정

Before
After
Before After

클리피씨 교정

Before
After
Before After

보건복지부 인증 치과교정과 전문의
정밀 진단을 통한 개인 맞춤형 교정 치료

치아 이동 및 배열을 가장 잘 아는 치과 교정과 전문의가 구강 환경에 맞는 장치를 통해 최선의 결과를 선사해 드립니다.

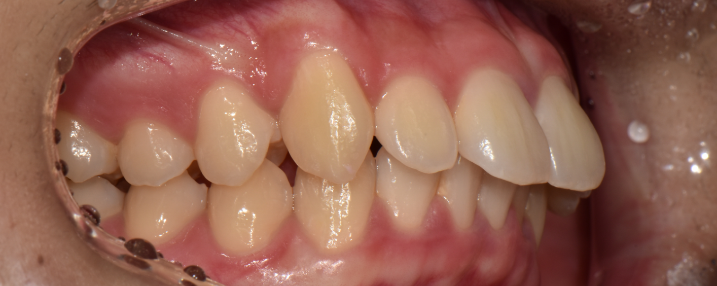
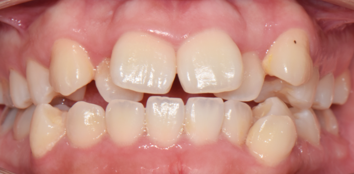
이런 치열을 가지고 계신가요?

과개교합, 반대교합, 개방교합등의 부정교합과 보기 싫은 불규칙한 치열 및 덧니!

이제는 탈출할 수 있습니다!

3D 진단을 통한 교정 치료

고른 치열을 갖는다는 의미는?

더 예쁘고 활짝 웃을 수 있는 심미성과 자신감을 얻는다는 것과,
구강 위생 관리의 용이성 확보로 염증 및 충치 발생 가능성을 낮춘다는 뜻입니다.
오랜 기간이 소요되는 만큼 치료 중간에 바뀌지 않는 치과 교정과 전문의의 진료가 필요합니다.

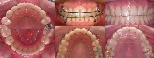
서울스마트치과 구강 스캔 방식

서울스마트치과는 환자분에게 맞는 구강 스캐너로 스캔하여 치아 상태를 보다 정확하고 빠르게 스캔합니다.

01프라임 스캔

본을 뜨지 않고 치아의 형태와 색상을 동영상 촬영하듯
스캔하여 구강환경을 3D 영상으로 구성시키는 세렉 장비입니다.
접근이 어려운 구강 영역까지 정밀하고 정확하게 스캔합니다.

02아이테로 스캔

최첨단 3D 구강 스캐너로 환자의 구강상태를 정확히 파악하고
치아 배열을 정밀하게 스캔해 오차 범위를 최소화합니다.
1-2분 내 스캔으로 가상 교정결과 확인이 가능합니다.

03페이셜 스캔과정

서울스마트치과는 3차원 디지털 방식의 페이셜 스캔을 통해 만들어진 전체 얼굴 모양에 3차원 데이터를 더하여
보다 심미적인 보철치료가 가능하며 심미성이 중요하거나 치료 범위가 넓은 보철물 치료가 필요할 경우,
이를 위한 모든 디지털 장비를 갖춘 치과는 서울스마트치과가 독보적입니다.

정확한 교정 진단 후 나에게 맞는 장치 선택으로
긴 여정을 서울스마트치과와 함께 합니다.

환자의 케이스에 따라 나에게 알맞은 교정 방식과 정품 교정 장치를 이용하여
교정이라는 긴 여정에서 최대한 치료 기간을 짧게 가질 수 있도록, 치아 부담을 줄여줄 수 있도록 합니다.

원터치 버튼 특수클립 자가결찰 교정

치아 색상과 유사한 브라켓이 심미적인 슬라이딩 도어 방식의 자가결찰 시스템
교정 시 통증을 줄인 세라믹 장치로 빠르고 효과적인 치아 이동이 가능합니다.

티나지 않아 심미성이 높은 투명교정

의료진의 치료 계획으로 디자인 되어 심미적, 기능적으로 우수한
개인 맞춤형 투명교정장치로 다양한 교정과 부정교합 치료도 가능합니다.

눈에 보이지 않아 편안한
인비절라인 투명교정

인비절라인 구강스캐너 아이테로를 이용하여 상담과 동시에 교정 후의 치아 이동 경로를 분석, 예측 후
간단한 교정부터 고난이도 교정까지 보다 정밀한 제어를 통해 정확한 치아교정이 가능합니다.

투명 교정으로 심미적
변형이 적은 스마트 소재
정교한 예측, 적절한 이동량

3차원 디지털 커스텀 제작
슈어스마일 교정

3D 영상으로 구강환경을 정밀히 구성하여 접근이 어려운 부위까지도
정확한 스캔이 가능하여 디지털 진단을 기반으로 한 맞춤형 투명치아교정이 가능합니다.

투명 교정으로 심미적
편안한착용감
정교한 예측, 적절한 이동량

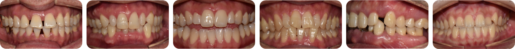
치아교정 치료사례

서울스마트치과는 결과로 증명합니다.

치료 전

로그인이 필요합니다.

*해당 게시물은 의료법 제56조에 의거하여 로그인 후 열람이 가능합니다.

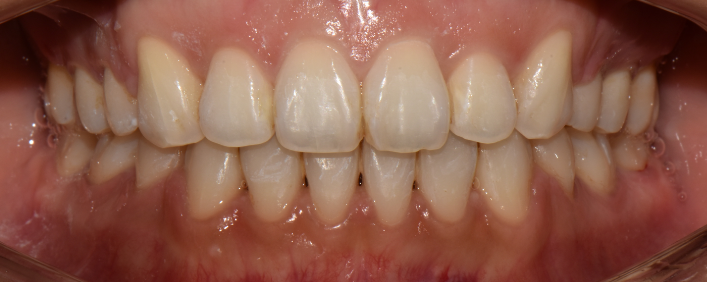
치료 후

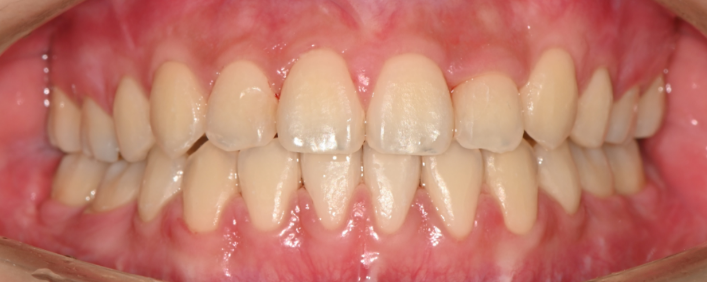
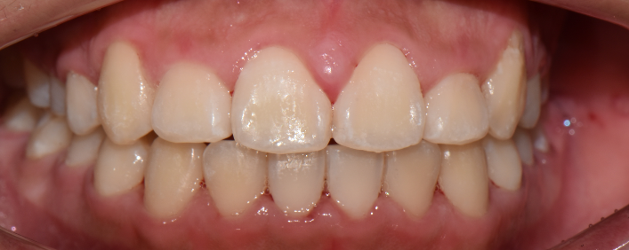
이** 환자분 (돌출입 교정 케이스)

발치 교정을 통해 돌출된 입술과 뻐드러진 치아 각도를 개선해 치열 및 옆모습 개선

위 치료 사례는 서울스마트치과에서 직접 치료를 받고, 환자 본인의 동의를 얻어 게재된 사진으로 무단 인용, 도용, 재배포 시 민/형사상 책임을 질 수 있습니다.

치료 전

로그인이 필요합니다.

*해당 게시물은 의료법 제56조에 의거하여 로그인 후 열람이 가능합니다.

치료 후

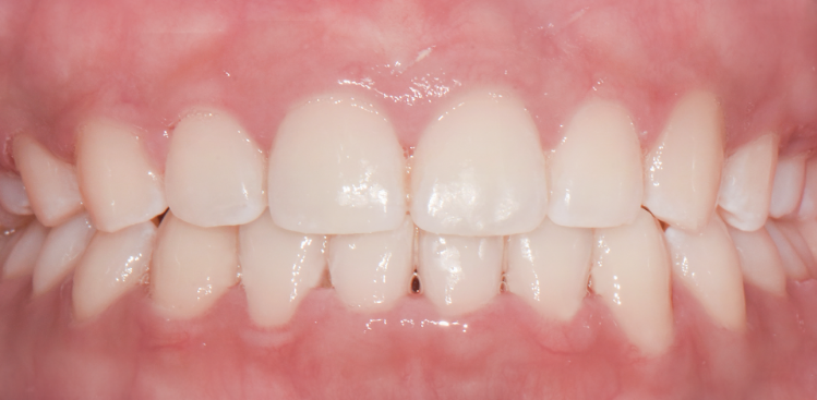
이** 환자분 (돌출입 교정 케이스)

전치부 반대교합 및 삐뚤빼뚤한 치아를 비발치로 전체 교정

위 치료 사례는 서울스마트치과에서 직접 치료를 받고, 환자 본인의 동의를 얻어 게재된 사진으로 무단 인용, 도용, 재배포 시 민/형사상 책임을 질 수 있습니다.

치료 전

로그인이 필요합니다.

*해당 게시물은 의료법 제56조에 의거하여 로그인 후 열람이 가능합니다.

치료 후

최** 환자분 (교합 교정 케이스)

상악이 하악을 깊게 덮는 과개교합(Deep bite) 부정교합 비발치 교정

위 치료 사례는 서울스마트치과에서 직접 치료를 받고, 환자 본인의 동의를 얻어 게재된 사진으로 무단 인용, 도용, 재배포 시 민/형사상 책임을 질 수 있습니다.

치료 전

로그인이 필요합니다.

*해당 게시물은 의료법 제56조에 의거하여 로그인 후 열람이 가능합니다.

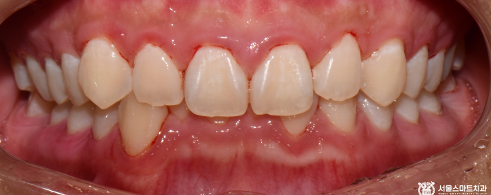
치료 후

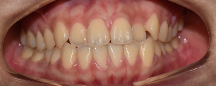
이** 환자분 (치주 교정 케이스)

치조골 흡수 및 약해진 치주로 인해 치아 사이 공간 벌어져 비발치 재교정 및 치주 치료

위 치료 사례는 서울스마트치과에서 직접 치료를 받고, 환자 본인의 동의를 얻어 게재된 사진으로 무단 인용, 도용, 재배포 시 민/형사상 책임을 질 수 있습니다.

치료 전

로그인이 필요합니다.

*해당 게시물은 의료법 제56조에 의거하여 로그인 후 열람이 가능합니다.

치료 후

강** 환자분 (수술교정 케이스)

교정치료와 악교정 수술을 병행하여 치아와 골격의 조화를 이루어 주걱턱과 얼굴 비대칭 완화

위 치료 사례는 서울스마트치과에서 직접 치료를 받고, 환자 본인의 동의를 얻어 게재된 사진으로 무단 인용, 도용, 재배포 시 민/형사상 책임을 질 수 있습니다.